Crowns and bridges
Fixed dental prosthesis in Geneva
Damaged or missing teeth affect your appearance, as well as your ability to eat and speak. At Névé Dental Clinic, we offer advanced solutions such as crowns and bridges. Consequently, these treatments restore strength, function, and beauty to your smile. We use high-quality materials and professional expertise to ensure durable and aesthetic results.
What is a dental crown?
A dental crown completely covers a damaged or weakened tooth. It restores the shape, size, strength, and appearance of the tooth. We fabricate crowns from ceramic, porcelain fused to metal, metal, or zirconium. They are strong and durable.
The benefits of dental crowns
Protection: Crowns protect teeth weakened by cavities or fractures.
Durability: They last many years with proper care.
Aesthetics: Ceramic or porcelain crowns match the natural color of your teeth.
Function: They restore the ability to chew and speak properly.
What is a dental bridge?
A dental bridge replaces one or more missing teeth. It consists of crowns on adjacent teeth and artificial teeth to fill the gap. We fabricate bridges from ceramic, porcelain fused to metal, or metal. They offer a durable solution.
The benefits of dental bridges
Function: Bridges restore your ability to chew and speak properly.
Prevention: They prevent adjacent teeth from shifting into the space left by missing teeth.
Aesthetics: Ceramic or porcelain bridges resemble your natural teeth.
Stability: Permanently fixed, they offer a stable and durable solution.
How does the treatment with crowns and bridges work?
Examination and planning:
Evaluation: During your consultation, our dentist examines your teeth and takes X-rays.
Treatment plan: Then, a personalized plan is developed, including the design of the necessary crowns or bridges.
Tooth preparation:
Preparation: Teeth are prepared by reducing their size.
Impression: Then, an impression of the prepared teeth is taken to fabricate the custom crown or bridge.
Fabrication and placement:
Temporary restoration: A temporary crown or bridge may be placed.
Installation: At your next appointment, the final crown or bridge is adjusted and fixed in place with strong dental adhesive.
Care and maintenance:
Oral hygiene: Brush your teeth twice a day and floss daily.
Regular check-ups: Schedule regular visits to the dentist for professional cleanings and check-ups.
By using high-quality materials and following these steps, we ensure durable and aesthetic results. Do not hesitate to contact us for more information or to schedule a consultation.
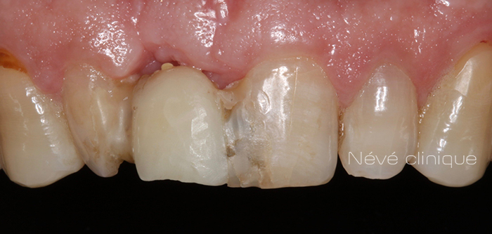
Clinical case of aesthetic restoration with prosthesis – Dr. Cristina Lopez
How much does it cost to get a crown or bridge?
For the placement of a crown, the fee is CHF 1600.
The cost varies depending on the materials used and the number of teeth involved. During the first consultation, your dentist will provide you with an accurate estimate.
Contact us today to schedule a consultation. Find out if getting crowns or bridges is the best option for you. We answer all your questions and offer you the best possible dental care!
Digital impression and design
We now use technology to record teeth and prosthetic preparations with 3D digital cameras. You no longer need to endure impression pastes, which are often imprecise and time-consuming to use.
Your practitioner records the digital impression and sends it immediately to the laboratory or processes it on-site.
This method offers increased comfort, saves time, and provides greater precision.
3D digital impression.
State-of-the-art technique
Speed
Precision
Comfort






