Péricoronarite : inflammation autour d’une dent de sagesse (symptômes, causes, traitement)
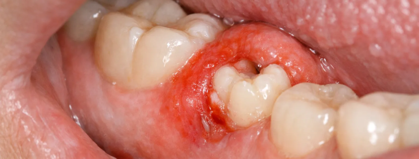
La péricoronarite est une inflammation (parfois infectieuse) de la gencive autour d’une dent en éruption, le plus souvent une dent de sagesse. Elle survient surtout quand la dent sort partiellement et qu’un petit “capuchon” de gencive (opercule) recouvre encore une partie de la couronne : les bactéries et débris alimentaires peuvent s’y coincer, déclenchant douleur et gonflement.
Si vous suspectez un problème de dent de sagesse, vous pouvez aussi consulter notre page dédiée aux dents de sagesse.
Symptômes : comment reconnaître une péricoronarite ?
Les signes les plus fréquents sont :
-
douleur au fond de la bouche, souvent d’un seul côté, près de la dent de sagesse
-
gencive gonflée, rouge et sensible autour de la dent
-
douleur qui augmente en mastiquant, en avalant, ou en ouvrant grand la bouche
-
mauvais goût ou mauvaise haleine
-
parfois difficulté à ouvrir la bouche (trismus), gêne à la déglutition
-
dans les formes plus marquées : fièvre, fatigue, ganglion sous la mâchoire
Pourquoi ça arrive ? (causes et facteurs favorisants)
La péricoronarite survient surtout lorsque :
-
la dent de sagesse est partiellement sortie
-
l’opercule crée une “poche” où s’accumulent plaque et aliments
-
la dent est mal positionnée (inclinaison, manque de place)
-
l’hygiène est difficile à cet endroit (zone très postérieure)
-
vous êtes dans une période de baisse de forme (stress, fatigue), ce qui peut favoriser une poussée
Est-ce une urgence ?
Parfois oui. Il faut consulter rapidement si vous avez :
-
une douleur très forte qui empêche de dormir, manger ou boire
-
une fièvre ou un gonflement important
-
une difficulté à avaler ou à ouvrir la bouche
-
un gonflement qui s’étend vers la joue, le cou ou sous la mâchoire
Dans ces situations, privilégiez une prise en charge rapide en urgence dentaire.
Traitement : que faire pour calmer une péricoronarite ?
Le traitement dépend du stade (inflammation simple vs infection) et de la position de la dent.
1) Mesures utiles à la maison (en attendant la consultation)
Ces gestes peuvent aider à diminuer l’inflammation et la douleur, sans aggraver la situation :
-
rinçages doux à l’eau tiède salée, surtout après les repas (sans “gargariser” fort)
-
brossage soigneux avec brosse souple, en nettoyant délicatement la zone (sans traumatiser)
-
alimentation molle/tiède (éviter très chaud, épicé, croquant côté douloureux)
-
antalgique si besoin, en respectant les contre-indications et doses
À éviter :
-
manipuler la zone avec les doigts, cure-dent ou coton-tige
-
rinçages trop vigoureux si la zone saigne ou est très irritée
-
fumer (souvent irritant et défavorable à la cicatrisation)
2) Ce que fait le dentiste (le plus efficace)
En cabinet, l’objectif est de désenflammer, nettoyer et éviter la récidive :
-
nettoyage/irrigation de la zone sous l’opercule pour retirer débris et plaque
-
parfois un antiseptique local selon le contexte
-
gestion de la douleur (traitement antalgique adapté)
-
si l’infection est plus marquée : traitement complémentaire décidé au cas par cas
⚠️ Les antibiotiques ne sont pas systématiques : ils peuvent être indiqués s’il existe des signes d’infection plus diffuse (fièvre, cellulite, gonflement important, difficulté à avaler/ouvrir la bouche). Le choix dépend de l’examen clinique.
3) Traitement “définitif” : éviter que ça revienne
Si les poussées se répètent, il faut traiter la cause :
-
surveillance (si la dent finit de sortir correctement et que l’hygiène redevient facile)
-
operculectomie (retirer l’opercule) dans certains cas sélectionnés
-
extraction de la dent de sagesse si manque de place, dent incluse/mal positionnée, récidives, carie associée ou risque pour la dent voisine
Quand l’extraction est indiquée, elle est réalisée dans le cadre de la chirurgie orale, et peut être planifiée après avoir calmé l’épisode aigu.
Combien de temps ça dure ?
-
Une poussée légère peut s’améliorer en quelques jours avec nettoyage + mesures locales.
-
Si l’inflammation est importante ou si la dent continue à piéger des débris, les symptômes peuvent revenir tant que la cause (opercule / manque de place) n’est pas traitée.
Complications possibles (si on laisse traîner)
Une péricoronarite non prise en charge peut évoluer vers :
-
une infection plus profonde (abcès), avec gonflement qui s’étend
-
une limitation importante de l’ouverture de bouche
-
une infection qui diffuse vers les espaces de la mâchoire (rare, mais sérieux)
D’où l’intérêt de consulter si les symptômes sont importants ou s’aggravent.
Prévention : réduire le risque de récidive
-
Hygiène ciblée au fond de la bouche (brosse souple, gestes précis)
-
Rinçage doux après les repas pendant la phase sensible
-
Bilan dentaire pour évaluer la position des dents de sagesse et décider d’une stratégie (surveillance vs extraction)
Un contrôle dentaire permet d’évaluer la situation et d’anticiper les récidives, surtout si vous avez déjà eu une poussée.
FAQ – Péricoronarite (dent de sagesse)
Péricoronarite : est-ce contagieux ?
Non. C’est une inflammation locale liée à l’accumulation de bactéries et de débris autour de la dent, pas une maladie contagieuse.
Peut-on soigner une péricoronarite sans enlever la dent ?
Parfois oui, surtout si la dent finit par sortir correctement et que l’hygiène devient facile. En cas de récidives ou de dent mal positionnée, une solution définitive (souvent l’extraction) est fréquemment discutée.
Comment savoir si c’est une infection et pas “juste” une inflammation ?
Fièvre, gonflement important, pus/mauvais goût marqué, ganglion douloureux, difficulté à avaler ou ouvrir la bouche sont des signaux qui doivent faire consulter rapidement.
Est-ce que ça peut revenir ?
Oui, tant que l’opercule ou le manque de place persiste. Le nettoyage en cabinet calme souvent l’épisode, mais le traitement durable dépend de la position de la dent.
Prendre rendez-vous
Si vous avez mal au fond de la bouche, une gencive gonflée autour d’une dent de sagesse, ou des symptômes qui s’aggravent, vous pouvez prendre rendez-vous en ligne. En cas de douleur importante ou de signes inquiétants, privilégiez l’urgence dentaire.



