Chirurgie guidée implantaire
Pose d‘implants dentaires grâce à l’aide d’un guide chirurgical
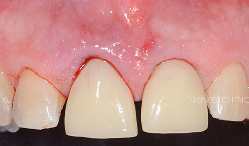
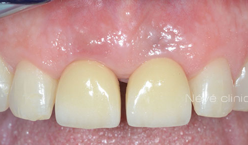
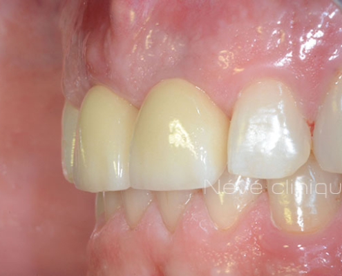
Pose d’implant dentaire et chirurgie guidée
Le chirurgien place généralement les implants dentaires en utilisant des repères et des mesures dans votre bouche. Cependant, il est également possible d’utiliser un outil numérique pour planifier virtuellement la position de l’implant sur un logiciel avant la chirurgie. Ensuite, nous réalisons un guide de perçage basé sur cette planification.
Ce guide, appelé guide chirurgical, est ensuite placé dans votre bouche exactement dans la position envisagée. Grâce à ce guide, nous effectuons le forage et la pose de l’implant de manière précise, assurant ainsi un placement optimal et conforme à la planification initiale.
Avantages et inconvénients de la chirurgie implantaire guidée
Les avantages de la chirurgie implantaire guidée sont :
- Les volumes osseux disponibles sont optimisés, ce qui peut éviter de recourir à des greffes osseuses.
- Le positionnement des implants dentaires est précis, ce qui représente un avantage certain dans les cas complexes et/ou dangereux.
- Les implants dentaires peuvent être placés sans avoir à soulever votre gencive.
- Dans certains cas, une prothèse provisoire implanto-portée peut être fabriquée avant même que les implants dentaires ne soient posés.
Les inconvénients de la chirurgie implantaire guidée sont :
- Le guide prend de la place dans votre bouche et rend plus complexe la mise en place des forêts de perçage.
- Si la qualité osseuse n’est pas optimale dans la zone choisie lors de la planification, le guide doit être déposé et la procédure continuée sans guide.
- Si des corrections de volume osseux ou gingival sont nécessaires, le guide doit être déposé pour réaliser les greffes et cela fait perdre la plupart de ses avantages.
- Le coût du guide qui s’ajoute au coût de l’implant dentaire.
Protocole de traitement en chirurgie guidée
Nous suivons un protocole particulier pour le placement d’implants dentaires par chirurgie guidée :
Planification
Lors de la consultation pré-implantaire, nous positionnons virtuellement les implants sur un logiciel de planification spécifique. Nous enregistrons votre image radiographique 3D (cone beam) et l’empreinte numérique de vos mâchoires dans ce logiciel.
Fabrication
Une fois que nous avons vérifié et validé le projet, nous envoyons les données à un centre d’usinage spécialisé. Le centre usine un guide chirurgical sur mesure dans un matériau biocompatible, puis le stérilise. Nous pouvons également fabriquer une prothèse provisoire (couronne ou bridge).
Chirurgie
Le jour de votre chirurgie, nous mettons en place le guide sur vos dents restantes ou le vissons sur votre mâchoire. Nous réalisons le forage à travers le guide et plaçons les implants dentaires. Ensuite, nous retirons le guide et vissons immédiatement la prothèse provisoire préparée à l’avance.
Quand utiliser un guide chirurgical implantaire?
Tout d’abord, nous vous conseillons sur l’utilisation des guides chirurgicaux.
Ces outils supplémentaires permettent au chirurgien d’optimiser la position tridimensionnelle des implants. Cependant, il est important de noter qu’ils ne remplacent pas l’expérience clinique d’un praticien.
Ainsi, que nous utilisions un guide chirurgical ou non, nous respectons toujours les bases de la chirurgie implantaire afin de garantir la pérennité des implants. En effet, l’expertise du chirurgien reste primordiale pour assurer des résultats optimaux.














































