Prothèse implantaire
Les reconstruction prothétiques sur implant dentaire
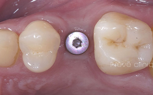
La prothèse sur implant est la partie visible qui dépasse de la gencive: ce sont les dents qui vous permettront de fonctionner.
La prothèse est fixée sur l’implant dentaire par l’intermédiaire d’une connectique ou pilier implantaire.
Elles sont fabriquées dans divers matériaux. Le plus souvent en céramique avec une armature en zircone, titane ou métaux, selon la conception choisie.
Elles sont faites sur mesure dans un laboratoire de prothèse.
Les différents types de prothèses implantaires
- Si il vous manque une dent:
La solution de choix est la pose d’un implant dentaire avec une couronne dessus, indépendante des autres dents.
Prothèse sur implant unitaire
- Si il vous manque plusieurs dents:
La solution de choix est la pose de plusieurs implants avec un pont (bridge), il faut au moins 2 implants dentaires pour remplacer 3 dents.
- Si il vous manque toutes les dents:
2 solutions implantaires sont possibles:
-
- 2 ou 4 implants dentaires sont posés et une prothèse amovible clipsée sur des boutons pressions est réalisée. C’est un appareil en résine qui se met et s’enlève.
Prothèse amovible sur attachements
-
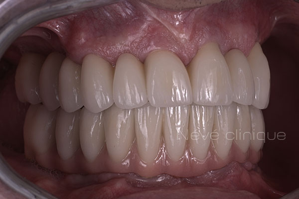
- 6 implants dentaires sont posés (voir 4 ) et une prothèse fixe visée est réalisée. C’est la solution de choix dans les cas d’édentement complet.
Bridge céramique implantaire sur 6 implants
Cas clinique #1
Bridge céramique sur implants
Cas clinique #2
Bridge céramique sur implants avec et sans sans fausse gencive
Cas clinique #3
Bridge résine sur implants






































