Pose d’implants dentaires
L‘intervention chirurgical en implantologie
L’installation
Nous vous accompagnerons dans une salle dédiée à la chirurgie en prenant toutes les précautions nécessaires pour assurer votre confort et votre sécurité.
Nous vérifierons vos prémédications, le cas échéant.
Ensuite, vous devrez faire un bain de bouche de chlorhexidine pendant 1 minute. Puis, nous vous habillerons avec une tenue chirurgicale jetable stérile.
Enfin, nous vous installerons sur le fauteuil de chirurgie avec des champs stériles et des protections.
L’intervention chirurgicale
Nous appliquerons d’abord un gel anesthésiant local, puis nous procéderons à une injection, comme pour un soin dentaire traditionnel, avant la chirurgie.
Ensuite, nous réaliserons une incision sur votre gencive et la soulèverons délicatement. Le chirurgien effectuera une série de forages sous irrigation. Une fois cela fait, il vissera l’implant. Nous remettrons ensuite la gencive en place avec deux points de suture et contrôlerons la plaie.
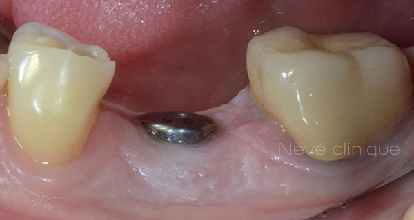
Dans les cas d’implants postérieurs, vous quitterez le cabinet avec une petite vis de protection sur l’implant, qui affleurera votre gencive. Pour les implants esthétiques, nous poserons le plus souvent une prothèse mise en charge immédiatement.
Cette intervention est simple et rapide, prenant environ 20 minutes pour un implant. Vous ne ressentirez aucune douleur pendant la procédure.
Chirurgie implantaire
Explication des conseils post-opératoires
Vous serez débarrassés des champs stériles et protections.
Nous vous expliquerons la prescription médicamenteuse, ainsi que les conseils post-opératoires pour que votre cicatrisation se passe pour le mieux.
Nous vous accompagnerons à l’accueil pour fixer les prochains rendez-vous.
Dépose des points
Nous nous recevrons en contrôle et pour déposer les points de suture 15 jours plus tard.
Contrôle de l‘ostéointégration de l’implant et Prothèse
Nous nous reverrons en contrôle d’ostéointégration après 3 mois.
Nous vérifierons que l’os s’est bien fixé à l’implant par un examen clinique et la prise d’une radiographie.
L’implant peut à ce stade recevoir la prothèse d’usage.
Combien coûte un implant dentaire ?
Pour un implant dentaire avec sa couronne céramique, les honoraires sont de CHF 3488-.
Le coût dépend du type de dent, du volume osseux et gingival, votre chirurgien oral fera un devis lors de la première consultation.
Contactez-nous dès aujourd’hui pour en savoir plus sur les implants dentaires. Nous sommes là pour répondre à toutes vos questions et vous fournir les meilleurs soins dentaires possibles !















