Gencive gonflée autour d’une dent : causes fréquentes et que faire
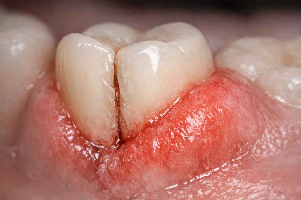
Une gencive qui gonfle autour d’une seule dent est un symptôme fréquent. Parfois, c’est simplement une irritation locale (débris coincé, brossage trop agressif), mais cela peut aussi révéler une infection (abcès) ou une inflammation plus profonde nécessitant un traitement rapide.
L’objectif : identifier les causes les plus probables, savoir quoi faire immédiatement, et reconnaître les situations où il faut consulter sans attendre.
Comment reconnaître une gencive “gonflée” autour d’une dent ?
Les signes associés aident beaucoup à orienter la cause :
-
gencive rouge, douloureuse au toucher
-
douleur à la mastication
-
sensibilité au chaud/froid
-
mauvais goût dans la bouche, mauvaise haleine
-
“bouton” sur la gencive (fistule), écoulement
-
gonflement de la joue ou de la mâchoire, fièvre
Les causes les plus fréquentes (du plus courant au plus urgent)
1) Débris coincé entre la dent et la gencive (impaction alimentaire)
Un morceau de nourriture coincé ou une zone où les aliments se tassent peut provoquer un gonflement local et une douleur au brossage. Ça s’améliore souvent quand on nettoie correctement l’espace interdentaire (fil/brossette) et que l’inflammation diminue.
2) Gingivite localisée (plaque/tartre)
Une accumulation de plaque sur une zone précise peut donner une gencive rouge, gonflée, qui saigne facilement au brossage.
➡️ Un nettoyage professionnel règle souvent le problème si on intervient tôt.
3) Abcès parodontal (infection de la gencive autour de la dent)
C’est une cause classique de gonflement localisé : poche infectée, parfois avec douleur pulsatile, pus, et gêne à la mastication. Un abcès parodontal peut être favorisé par une maladie des gencives ou par un corps étranger coincé dans une poche.
➡️ Cela nécessite une prise en charge dentaire (drainage/traitement de la cause), et parfois des antibiotiques uniquement s’il existe des signes généraux.
4) Abcès dentaire lié à une carie ou à une infection du nerf (abcès “apical”)
Une carie profonde ou un traumatisme peut infecter la pulpe (“nerf”) et former un abcès. On retrouve souvent :
-
douleur intense, parfois pulsatile
-
sensibilité au chaud/froid
-
douleur à la pression/mastication
-
gonflement gingival local (parfois “bouton” sur la gencive)
-
parfois fièvre ou gonflement du visage
➡️ Le traitement est dentaire (souvent traitement endodontique ou drainage), et les antibiotiques ne sont pas systématiques si l’infection est localisée.
5) Dent fissurée / traumatisme (inflammation autour de la racine)
Une fissure ou un choc peut déclencher une inflammation et, secondairement, une infection. La douleur est souvent marquée à la mastication, parfois intermittente.
6) Dent de sagesse (si le gonflement est au fond, derrière la dernière molaire)
Quand la dent de sagesse sort partiellement, la gencive peut s’enflammer autour (péricoronarite), avec gonflement, douleur, parfois difficulté à ouvrir la bouche.
Que faire tout de suite (sans aggraver)
Les bons gestes
-
Brossez doucement la zone (ne pas arrêter l’hygiène).
-
Nettoyez entre les dents (fil/brossette) si vous suspectez un débris coincé.
-
Faites des rinçages à l’eau tiède (ou eau tiède salée si ça soulage).
-
Antalgique selon vos habitudes et contre-indications.
À éviter
-
Percer ou “presser” le gonflement avec un objet (risque d’étendre l’infection).
-
Chaleur forte sur la joue (peut augmenter l’inflammation dans certains cas).
-
Se contenter de bains de bouche en repoussant la consultation si la douleur/gonflement progresse.
Quand consulter en urgence ?
Consultez sans attendre si vous avez :
-
gonflement du visage ou de la mâchoire
-
fièvre, malaise
-
douleur intense qui augmente rapidement
-
difficulté à avaler, à respirer, ou à ouvrir la bouche
-
écoulement de pus, mauvais goût persistant
Dans ces situations, prenez un avis rapide via l’urgence dentaire.
Quel type de traitement selon la cause ?
-
Si c’est une inflammation de gencive/plaque : contrôle + nettoyage, conseils d’hygiène (souvent avec une hygiéniste dentaire).
-
Si une carie est en cause : traitement conservateur via traitement des caries / collage.
-
Si l’infection vient du nerf : traitement endodontique.
-
Si la gencive est infectée (poche/abcès parodontal) : bilan parodontal, parfois traitement parodontal non chirurgical, et prise en charge de la parodontite si elle est présente.
Pour planifier facilement : rendez-vous en ligne.
FAQ – Gencive gonflée autour d’une dent
Une gencive gonflée autour d’une dent, est-ce forcément un abcès ?
Non. Cela peut être un débris coincé ou une gingivite localisée. Mais si la douleur est pulsatile, qu’il y a du pus, un mauvais goût, ou un gonflement qui s’étend, l’abcès devient plus probable.
Les antibiotiques suffisent-ils ?
Souvent non : la recommandation est de privilégier le traitement dentaire (drainage, traitement de la dent, traitement parodontal). Les antibiotiques sont surtout indiqués si l’infection s’accompagne de signes généraux (fièvre, malaise) ou s’étend.
Combien de temps attendre avant de consulter ?
Si le gonflement ne diminue pas en 24–48 h malgré une hygiène douce, ou s’il s’accompagne de douleur importante, mieux vaut consulter rapidement pour éviter l’aggravation.
À retenir
Une gencive gonflée autour d’une dent est souvent liée à une inflammation locale ou à un abcès (parodontal ou dentaire). Si la douleur est importante, si l’on observe du pus, de la fièvre ou un gonflement du visage, il faut consulter rapidement.



